Archief | november 2013

Drachtig!

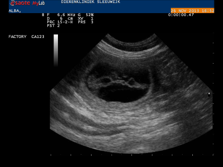
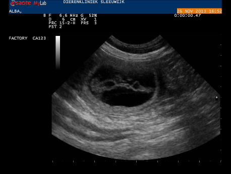
Voor zover we het niet al zeker wisten, is het nu wel zeker: Alba is drachtig!
Gisteren hebben we een echo laten maken bij Dierenkliniek Sleeuwijk. Zodra de echokop haar buik raakte, sprongen er een aantal vruchtblaasjes in beeld. Het blijft prachtig om te zien! De dierenarts heeft niet precies geteld, dat hoeft voor ons ook niet, maar het is duidelijk dat het geen klein nest zal worden. De vruchtjes zagen er goed ontwikkeld uit, en hoewel er ook in dit stadium nog van alles kan gebeuren gaan we er vanuit dat Alba over 4,5 week prachtige pupjes gaat krijgen.

Momentopname 1 (27-11-2013 15-09)
Momentopname 2 (27-11-2013 15-09)
Momentopname 3 (27-11-2013 15-10)

Via deze link http://www.youtube.com/watch?v=DkC0mqy8zvU&feature=youtu.be zijn de (wel erg korte) videobeelden te zien van de echo.

Week 4

Gerekend vanaf de eisprong is Alba nu 4 weken drachtig, de tijd gaat snel!

We hebben de afspraak voor de echo gemaakt, ben heel benieuwd wat we te zien gaan krijgen. Op basis van gedrag en de uiterlijke veranderingen verwacht ik toch wel vruchtblaasjes te gaan zien maar toch blijft het heel spannend. Je weet maar nooit, misschien houdt ze ons toch voor de gek?

Alba eet deze week vrij slecht, wat ze vorige keer ook rond deze tijd had. Maar helaas heeft ze er dit keer ook wat last van maagzuur bij, wat de eetlust ook niet bevorderd. Soms heeft ze het ook juist als ze wat gegeten heeft, heel sneu. Okugest helpt wel wat, evenals kleine hapjes of een lepel honing. Rauwe honing is het beste, die is op maar staat op de boodschappenlijst! Ik hoop dat het snel over is en ze weer goed gaat eten.

De embryo’s zijn in de afgelopen week snel verder ontwikkeld. De ogen en de ruggengraatjes zijn ontwikkeld, de gezichtjes vormen zich en de aanleg van de organen is begonnen. Ze zijn van 5-10 mm groot nu 14-15 mm groot. Nog altijd net niks maar het blijft heel bijzonder om te bedenken dat het allemaal zo snel gaat daarbinnen!

Alba vind het heerlijk als we haar buik wrijven, ze kan hele avonden op haar rug liggen en wij geven haar natuurlijk braaf haar zin! Duty calls :-).

Wandeling met Billy

Eindelijk eens gelukt om af te spreken met Billy (Nuphar’s Everything Zen) en zijn baasjes! We hebben heerlijk gelopen door de Soesterduinen.

Billy is een heerlijke jonge reu, ontzettend vriendelijk en stabiel, kan met alle honden overweg. Hij houdt van rennen maar weet ook prima te relaxen, een echte Barbet in zowel uiterlijk als temperament.

Blog IMG_0407 Blog IMG_0411 Blog IMG_0427 Blog IMG_0453 Blog IMG_0472 Blog IMG_0514

De keurverslagen

Barbet Clubmatch CAC
27 oktober 2013
Keurmeester C.F. Rutten (NL)

Thibault, Jeugdklasse

55 cm
Prima  gestrekt totaalbeeld
Prima verhoudingen in het hoofd
Mooi donker oog
Compleet schaargebit met een oneffenheidje in een snijtandje
Prima voorborst
Schouderblad zou iets schuiner mogen
Onderbelijning iets te sterk oplopend
Prima vacht
Voor deze leeftijd acceptabel gangwerk

1 Uitmuntend

 

Billy, Jeugdklasse

60 cm hoog
17 maanden
Zeer vriendelijke jonge reu
Voldoende gestrekt in lichaam
Goede verhoudingen in het hoofd
Mooi donker oog, prima gebit
Hij staat een beetje ondergeschoven in stand
Prima bone, goede ribben
Goede vachtstructuur
Bij het gangwerk is de hond niet uit telgang te krijgen, daarom Zeer Goed

Zeer Goed

 

Norah, Jeugdklasse

52 cm
17 maanden
Goede hoogte-lengteverhouding
Uitmuntend rasbeeld
Goede verhoudingen in het hoofd
Schaargebit, mist P1 rechtsboven
Staat prima op de benen, goede hoekingen
Goede ribwelving
Uitmuntende vacht, goed weersbestendig

3 Uitmuntend

 

Dolce, Jeugdklasse

52 cm
17 maanden
Goede hoogte-lengte verhouding
Vrouwelijk hoofd, goede voorsnuit
Correcte oren
Prima lichaam met goede hoekingen
Prima ribben, goede vacht
Heel behoorlijk gangwerk met goede staartaanzet

4 Uitmuntend

 

Philou, Jeugdklasse

Volgt nog

Zeer Goed

Barbetclubmatch 2013

Ondanks dat wij er niet waren, natuurlijk toch nog een verslagje van de clubmatch want er waren wel 5 andere Nuphar’s aanwezig!
Lotus was uiteraard ook ingeschreven, nummer 6, maar die was afwezig. We zijn er heel trots op dat we een maximale aanwezigheid hadden van ons eerste nestje op de clubmatch, op eigen initiatief van de eigenaren.

‘Onze’ honden hebben prachtige resultaten gehaald met mooie verslagen!

Jeugdklas reuen, 7 inschrijvingen in totaal met daarin Thibault en Billy:
Thibault (Nuphar’s Four Leaf Clover): 1 UitmuntendBlog ThibaultBilly (Nuphar’s Everything Zen): Zeer Goed (vanwege telgang)
Helaas geen foto van Billy, maar dat maak ik hierna goed in een ander blog-bericht ;-).

Jeugdklas teven, 12 inschrijvingen in totaal met daarin Dolce en Norah:
Norah (Nuphar’s Bling It On BJK): 3 Uitmuntend
Blog Norah
Dolce (Nuphar’s All My Tomorrows): 4 Uitmuntend
Blog Dolce

Blog Norah en Dolce

Tussenklas teven, 7 inschrijvingen in totaal met daarin Philou:
Philou (Nuphar’s Captivation): Zeer Goed
Blog Philou 3 Blog Philou

 

We zijn heel trots op de honden en hun baasjes. We waren er graag bij geweest maar ook via deze weg nogmaals bedankt dat jullie er waren!

Al meer dan een week…

… zou Alba nu drachtig zijn. Al bijna 2 weken zelfs, als je weet dat een hond 63 dagen na ovulatie bevalt en je vanuit dan gaat rekenen.
Na ovulatie  hebben de eitjes 2 dagen nodig om te ‘rijpen’ en niet iedere teef laat zich precies dan dekken. Voor de progesterontesten, of natuurlijk nog steeds als je geen reden hebt om dat te doen (als je dicht bij de reu woont bv), rekende men vanaf de eerste dekking. Vaak werden de pups dan ook ‘te vroeg’ geboren, terwijl in werkelijkheid de teef gewoon keurig 2 tot 4 dagen na de ovulatie was gedekt.

Met progesteron kun je vrij nauwkeurig bepalen wanneer de eisprong is geweest en dus ook wanneer de pups hoogstwaarschijnlijk geboren zullen worden. Alba heeft precies gepland dat het géén kerstkindjes zijn en ook geen Oudjaarkindjes.

Alba voelt zich geweldig, is speels, ontzettend aanhankelijk en lijkt erg tevreden met zichzelf (nog iets meer dan anders). Natuurlijk zien we nog niks aan haar en blijft het gokken of ze wel of niet drachtig is, maar we hebben geen reden om aan te nemen van niet.

Even gekopieerd van de blogpost van haar eerste dracht:

In de eerste week van de dracht worden de rijpe eicellen bevrucht door de spermacellen. Dit gebeurd in de eileiders. De eicellen, die inmiddels uit 2 cellen bestaan, gaan vanuit hier richting de baarmoeder. Van 2 cellen groeien ze tot 4 cellen.

De komende week worden de 4-cellige ‘pups’ 64 cellen groot en zullen zij afreizen naar de baarmoeder.
De eicellen worden kiemblazen genoemd. In de 3e week, meestal op dag 19, nestelen de kiemblazen zich echt in de baarmoederwand. De kiemblazen worden dan embryonale blazen en vanaf dan wordt er gesproken over embryo’s.

Norah is Belgisch Jeugdkampioen

Norah (Nuphar’s Bling It On) heeft het Belgisch Jeugdkampioenschap behaald. Zij is de eerste Barbet die deze titel behaald!

We zijn heel trots op Norah en haar baasje Annemarie voor het behalen van deze titel. Zoals de Amerikanen zo mooi zouden zeggen ‘owner-handled’, ofwel door de eigenaar in de ring voorgebracht én in dit geval ook nog eens door de eigenaar zelf getoiletteerd.
Zoals de meeste Barbets is Norah een veelzijdig hondje, na de gehoorzaamheidscursussen is ze inmiddels met baasje Sander aan de agility begonnen waar ze veel plezier in hebben.

Blog Diploma Belgisch Jeugdkampioen