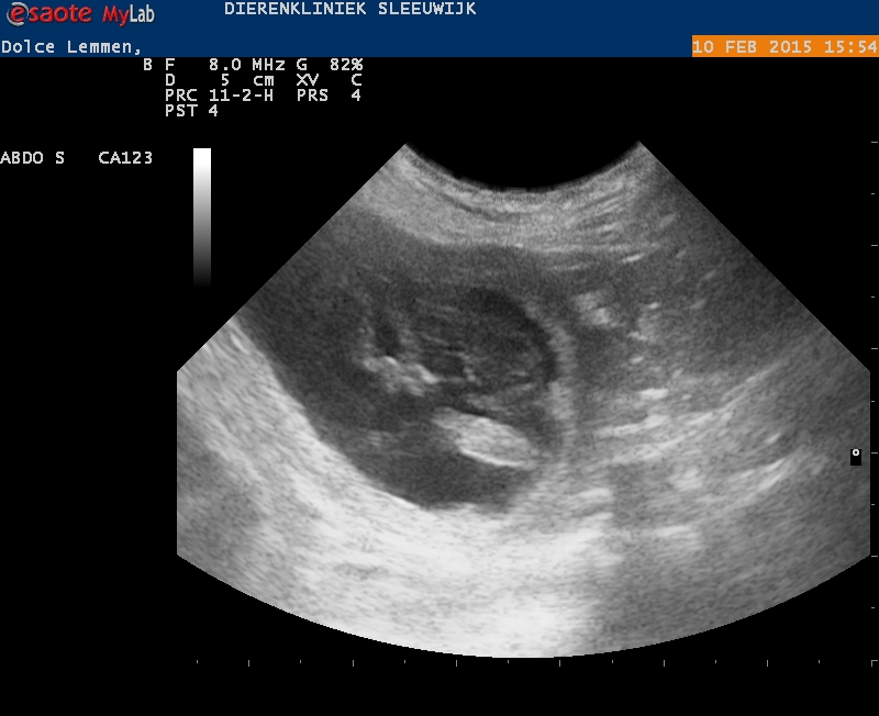
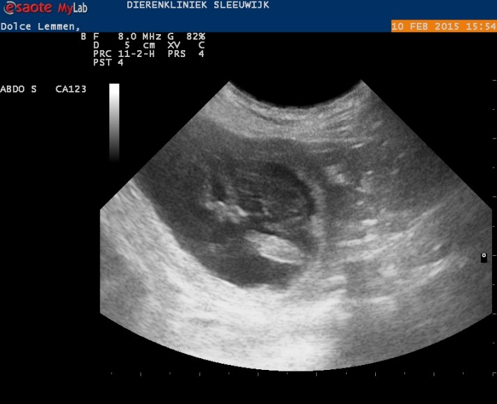
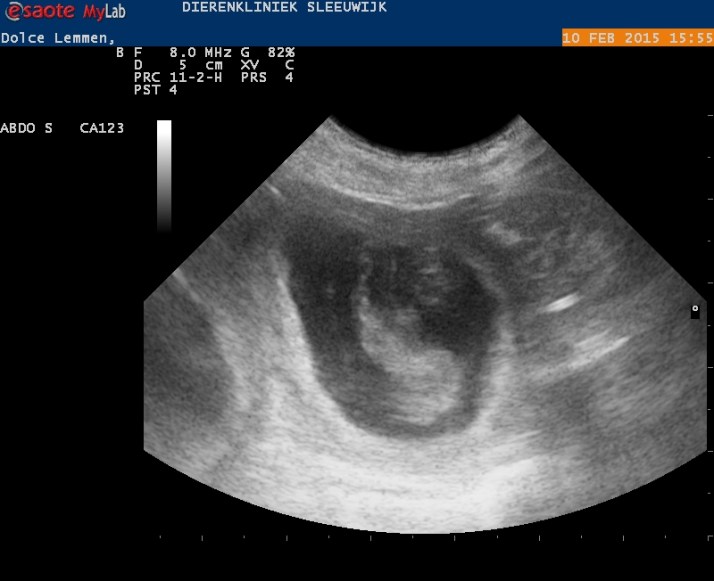
Vandaag hebben we het bevestigd gekregen, wat we eigenlijk al wisten: Dolce is zeker weten drachtig!
Tijdens de echo hebben we de vruchtjes kunnen zien, de hartjes zien kloppen en de dierenarts vond dat ze goed ontwikkeld waren.
We doen de echo eigenlijk vooral ‘voor de lol’, maar het blijft altijd prachtig om te zien! Dolce is zoals altijd heel relaxed dus ook dit liet ze kalm over zich heen komen, ze stond zelf ook heel geïnteresseerd naar het schermpje te kijken.
Het wordt geen erg groot nest, maar dat is ook wel fijn voor een eerste nestje van zowel Dolce als Miska&familie. We zullen zien hoeveel er uiteindelijk geboren worden! We verwachten de pupjes 15 maart.
















